טיפולים כירורגים

 
 

עקירות כירורגיות

 
עקירה כירורגית מתבצעת במקרים שבהם יש הרס של כותרת השן, או במקרים בהם שורשי השיניים מכופפים וגדולים לא מאפשרים עקירה פשוטה. בעקירה כירורגית מתבצע פיצול של השן למספר חלקים, עם או בלי הרמת מתלה חניכיים.
 
 
 
 

עקירת שיני בינה כלואות

 
 
שן בינה היא השן הטוחנת השלישית (בדרך כלל קיימות ארבע שיני בינה) אשר בוקעות אחרי גיל ההתבגרות, אך יכולות לבקוע גם בעשורים מאוחרים יותר.

עקב מחסור במקום באזורים אלו, שיני בינה יכולות להישאר בלסת, ואפילו לשנות כיוון, ואז הן נקראות כלואות. שן בינה כלואה עלולה להביא לזיהום, תהליך פתולוגי דוגמת היווצרות ציסטות או יכולות לגרום לפגיעה בשן סמוכה. בהרבה מקרים, נדרשת עקירת שיני בינה, כאשר פעולה זו מחייבת מיומנות רבה. במקרים שבהם יש קרבה לתעלת העצב בלסת התחתונה, נדרש ביצוע של צילום סי טי דנטלי טרם העקירה.
 
שיני בינה - פגיעה בשן
 
 
 
שיני בינה כלואות
 
 
 
 
 
 
 

אפיסקטומי

 
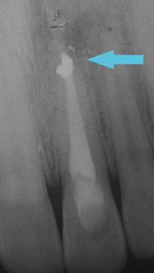
בשיניים שיש בהם תהליך זיהומי בחוד השורש, מבצעים טיפול שורש. אם עדיין קיים זיהום, ניתן לבצע חידוש טיפול שורש. במקרים שבהם לא ניתן לבצע חידוש טיפול שורש (למשל שן עם כתר) או שחידוש טיפול שורש עדיין לא פתר את הבעיה, ניתן לבצע טיפול אפיסקטומי, שהוא בעצם ניתוח באזור חוד השורש, שבמהלכו מסלקים תהליך זיהומי ומבצעים אטימה נוספת מאזור חוד השורש.
 
 
 
דוגמה: תהליך זיהומי שהתרחש בשן בעקבות חבלה (נפילה). השן עברה טיפול שורש וחידוש טיפול שורש, אך עדיין היה זיהום נרחב.
 
תהליך זיהום בשן אפיסקטומי
 
 
 
 
ריפוי מלא הושג חצי שנה לאחר אפיסקטומי.
 
חצי שנה לאחר אפיסקטומי
 
 
 
 
 
 
 

חשיפת שיניים כלואות

 
 
שן כלואה היא שן אשר לא בקעה בזמן או שלא צפויה לבקוע בזמן. בהרבה מקרים, ניתן להבחין בניבים כלואים אצל ילדים, לרוב עקב חוסר או אובדן מקום. במקרים אלו, ניתן לבצע ניתוח ולגלות אותם ולמשוך אותם בהמשך על ידיי אורתודונט.
 
 
 
ניבים כלואים
 
 
 
 
 
 
 

מחלות פרקי הלסת

 
מחלות פרקי הלסת יכולות להופיע בכל שלב בחיים, כאשר הן יכולות להיות קשורות או לא קשורות למחלות סיסטמיות. מחלות פרקי הלסת עלולות לגרום להגבלה בפתיחת הפה, כאבים בלעיסה, כאבים אשר יכולים להקרין לכל הפנים ולאוזן, עיוות בסגירת השיניים ובפנים וחוסר סימטריה. טיפול במחלות פרקי הלסת לרוב מתחיל בטיפול שמרני במסגרת המרפאה. חלק מהמטופלים נזקקים לטיפול כירורגי במסגרת חדר ניתוח, והוא מתבצע בבית החולים.
 
 
 
למידע נוסף ולתיאום תור, חייגו למרפאה של ד"ר דאוד עבד אל ראזק: 072-2598924.